XQUANG LAO PHỔI - ĐỌC

Đăng vào ngày 2025-10-27 23:17:40 mục Tin tức 5500 lượt xem

Đường dẫn tài liệu:

CHẨN ĐOÁN HÌNH ẢNH

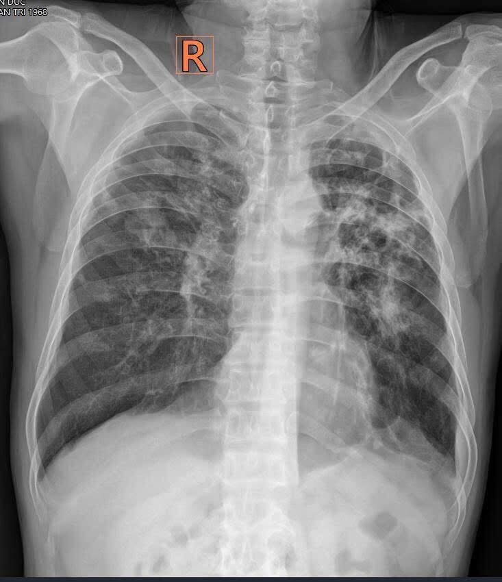
Trên diễn đàn Tự học CĐHA có đưa 1 phim XQ phổi. Bn 51t. Ho kéo dài, đờm nâu, gần đây sút cân….
Đây là một phim hết sức cơ bản. 
Tôi sẽ phân tích kỹ tổn thương trên phim. Các bạn xem và bàn luận.
Bài phân tích:
- Lồng ngực cân đối. Phổi trái giảm thể tích nhẹ. Tổn thương có mặt cả 2 phổi.
- Phổi phải: hình ảnh tổn thương ưu thế thuỳ trên, các đám mờ thâm nhiễm, chúng có ranh giới rõ, nhiều vệt tăng cản dạng xơ hóa, 
Kèm co kéo rốn phổi và giãn thể tích phổi: lá màng phổi đẩy sâu vào giữa cột sống. Ổ viêm cũ dạng đông đặc vùng góc tâm hoành.
- Phổi trái: tổn thương tập trung dày đặc hơn ở thuỳ trên, tăng cản xơ hóa mạnh, ứ khí vùng đỉnh, có hình vài hang với bờ dày mỏng khác nhau ( biểu hiện hang cũ có, và hang mới tạo ra có). Tổn thương còn thấy ở đáy phổi với hình ảnh viêm mảng cũ dính và ít dịch cũ của màng phổi.
Tóm tắt: Tổn thương 2 phổi có kiểu hình tương đồng, ưu thế thuỳ trên, xơ hóa, co kéo mạnh, có các hang nhỏ bên trái…
Kiểu hình lao phổi.
Bs Le Hai Minh 
🔯🔯🔯🔯🔯

Danh mục: Tài liệu

Messenger
Chat ngay
Chat hỗ trợ
Chat ngay